インプラントから訪問診療まで富山・魚津・滑川の歯医者さん

歯周病

歯周病治療

歯周病の治療は、歯垢と歯石の除去が基本となります。歯周病を悪化させないため、自宅での正しい歯磨きも重要になりますので、ブラッシング指導も行います。
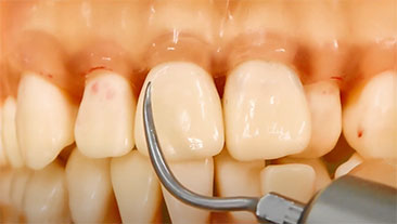
その後、歯周ポケット内についた歯石を取り除く治療を行っていきます。

歯周病菌は、腫れた歯肉から血管内に侵入、菌の死骸に残る毒素が心臓や脳血管、糖尿病、誤嚥性肺炎などに悪影響を及ぼします。
歯肉の腫れ、出血のある方、軽いうちに治療を開始しましょう。

よくあるご質問

 Q .   歯周病の治療に行くと検査があります。何を調べているのですか。
 A .   歯周ポケットの深さ、歯の動揺度、歯垢の付着率、出血や腫れの有無、歯槽骨の状態(X線)などで歯茎の状態を調べています。
歯周ポケットの深さを測る
動揺度検査
 Q .   何回も通わなければならないのはなぜですか。
 A .   歯石をとったら、ご自宅でしっかりと歯みがきをしていただいて、その後どの程度歯周病が改善しているかを調べます。
また、歯周ポケットの深いところがたくさんあった場合は通う回数が増えます。
健康保険のルールに従って進めていきます。
歯石除去